DermalGuard™

A Breakthrough in Skin Health

DermalGuard™ is the first product built on our groundbreaking IDB01 technology platform, which has demonstrated remarkable potential in treating burns, wounds, bedsores, and plaque psoriasis. This botanical-based cosmeceutical will be marketed under cosmetic regulations with a moisturizing claim, providing a natural approach to skin health.

While we cannot make drug claims at this stage, we are actively conducting trials to validate the compelling anecdotal evidence that led the New Day Pharmaceuticals founders to make their initial investment.

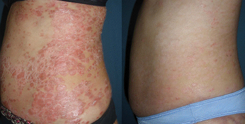
DermalGuard™ 28 Days Treatment

These images highlight the extraordinary healing capabilities of our technology, inspiring the founders of New Day Pharmaceuticals to make their first investment in bringing this breakthrough to market.

While we recognize the significant financial potential, our true driving force is the opportunity to transform lives by offering real relief to those struggling with plaque psoriasis and other severe skin conditions.

Together, we are advancing science, innovation, and hope.

Join Our Marketing Study

We are seeking participants to take part in a marketing study to help evaluate DermalGuard™ and its benefits.

If you’re interested in participating, click below to join our waiting list.

For Physicians

If you are a physician interested in offering DermalGuard™ to your patients or participating in a functional trial, we invite you to explore the potential of the IDB01 technology platform in clinical settings.

Click below to learn more about physician opportunities.